Estética Dental

Tratamientos personalizados en Estética Dental

La estética dental es la especialidad de la odontología que se enfoca en mejorar la apariencia de los dientes y la sonrisa.

En AC Dental, nos especializamos en ofrecer soluciones avanzadas y personalizadas para realzar tu sonrisa, combinando la salud bucal con la estética dental para lograr resultados naturales y armoniosos.

¿Por qué es importante la estética dental?

La estética dental no solo mejora la apariencia de tu sonrisa, sino que también puede influir en tu confianza y bienestar general. Una sonrisa bonita puede tener un impacto positivo en tu vida social y profesional, y también indica una buena salud dental.

La Dra. Patricia Anguís escuchará tus inquietudes y ofrecerá soluciones naturales y personalizadas. Contamos con los tratamientos necesarios para mejorar tu sonrisa; blanqueamiento dental, carillas de porcelana, carillas de composite, reconstrucciones que proporcionan biomimética y naturalidad con materiales de calidades excelentes y duraderas.

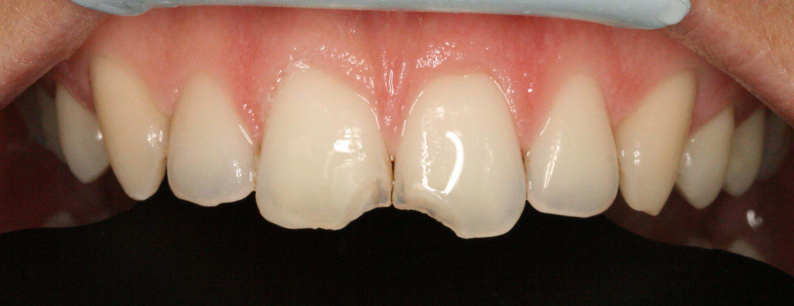
Problemas estéticos comunes

Dientes descoloridos: Manchas o decoloración que pueden afectar la apariencia de tu sonrisa. 

Fracturas o desgastes: Dientes astillados o desgastados que pueden ser el resultado de un trauma o del desgaste natural.

Formas irregulares: Dientes con tamaños o formas irregulares que no se ajustan a la armonía de la sonrisa.

"Para ver claro, basta con cambiar la dirección de la mirada"

Con la visión 360º profundizamos en cada uno de los aspectos que te preocupen desde distintas perspectivas

Preguntas frecuentes sobre la Estética Dental

¿Las carillas de porcelana son permanentes?

Las carillas de porcelana están diseñadas para ser una solución a largo plazo y, con el cuidado adecuado, pueden durar muchos años. Sin embargo, es posible que necesiten ser retocadas eventualmente debido al desgaste natural.

¿Qué puedo hacer si tengo diastema o espacio entre los dientes?

El diastema puede corregirse fácilmente con tratamientos como carillas dentales u ortodoncia. Dependiendo del caso te recomendaremos la mejor opción para alinear y mejorar la estética de tu sonrisa.

¿Cómo se realiza un blanqueamiento dental y cuánto tiempo tarda?

El blanqueamiento dental es un procedimiento sencillo y seguro que se realiza aplicando un gel blanqueador en la superficie de los dientes. En AC Dental, el tratamiento suele durar una hora en una sola sesión y posteriormente se refuerza el efecto con un tratamiento domiciliario. 

¿Es perjudicial el blanqueamiento para los dientes?

No, cuando se realiza de manera profesional, el blanqueamiento dental es seguro y no daña el esmalte ni la estructura del diente. En AC Dental utilizamos productos y técnicas de alta calidad para asegurar que el proceso sea efectivo y seguro para tu salud bucal. Te acompañamos para evaluar todo tipo de preguntas y darles respuesta.

Contacta

Whatsapp

(+34) 684 462 762

Teléfono

(+34) 977 007 068